Aesthetic restorative masterclass: direct vs indirect

Published on 31/10/2022
By Liv Schorah
Indirect restorations
85% of UK adults have restored teeth. 37% have crowned teeth, with an average of three per person in this group. It is estimated that there are 47.6 million crowned teeth in the UK, but unfortunately surveys report that over one quarter of these exhibit signs of failure, with secondary caries being the most common diagnosis.
Indirect restorations are associated with a range of widely documented disadvantages including poor longevity. The average indirect restoration lasts just ten years before replacement or extraction of the supporting tooth. Crown and bridgework is also responsible for the greatest proportion of negligence claims against dentists, accounting for the largest element of all damages and legal costs1:
Direct restorations
Fortunately, younger patient cohorts have fewer crowns compared to older groups. The poor prognostic factors listed in the table above, coupled with the advantages of direct restorative techniques, mean that composite resin is the contemporary material of choice for the vast majority of anterior and posterior restorations:
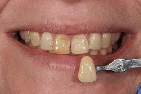
This clinical case demonstrates the materials, equipment and clinical techniques used to optimise the minimally invasive aesthetic direct restoration of anterior teeth:

Aesthetic restorative case - pre-op

Aesthetic restorative case - post-bleaching

Aesthetic restorative case - post-op
Summary
Minimally invasive direct techniques have transformed restorative dentistry. They focus on biologically respectful interventions that are designed to address aetiological factors and maximise preservation of natural tooth tissue. They promote smaller restorations of increased longevity, that are easier to maintain and renovate and leave future restorative options open as required.
With an insurmountable evidence base, they demonstrate excellent biological, functional and aesthetic success and are a proven, cost-effective, replacement to traditional restorative techniques, which in many cases should now be considered as historical.
References
Maglad AS, Wassell RW, Barclay SC, Walls AWG. Risk management in clinical practice. Part 3. Crowns and bridges: BDJ; Vol 209, No.3. Aug 2010.

Liv Schorah
A Yorkshire-based GDP with an interest in aesthetic restorative and cosmetic dentistry, compares indirect and direct restorative techniques and provides a step-by-step guide for optimising minimally invasive direct composite veneers.
